
Explore Transformations That Inspire in Our Smile Gallery
Browse through the transformations at Anchorage Dental Care Mindarie. Our Smile Gallery showcases the significant changes we’ve achieved, highlighting the impact of our focused dental care in enhancing both smiles and overall well-being.
Be Inspired by Confident and Beautiful Smiles in Our Smile Gallery
Disclaimer: These images display actual patients of our clinic. Every case is different, and treatment outcomes can vary according to individual conditions and needs.
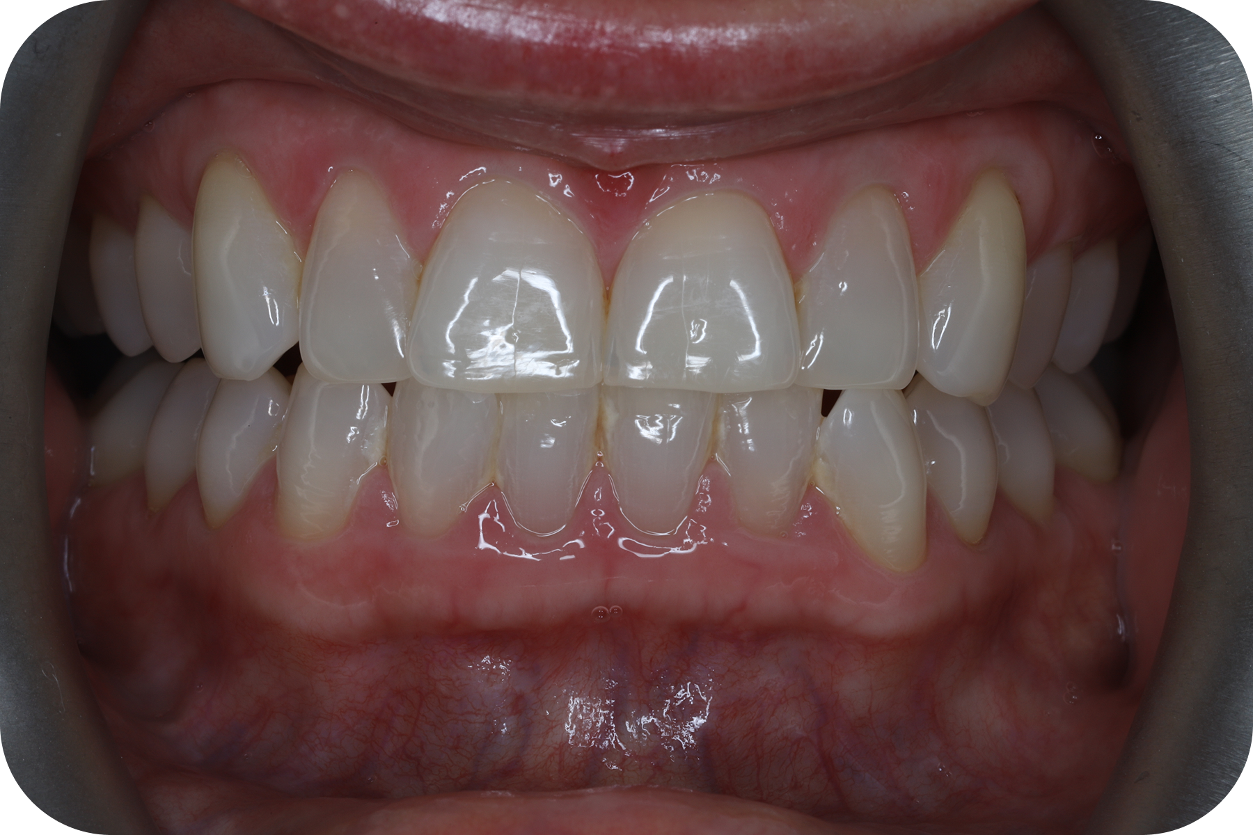
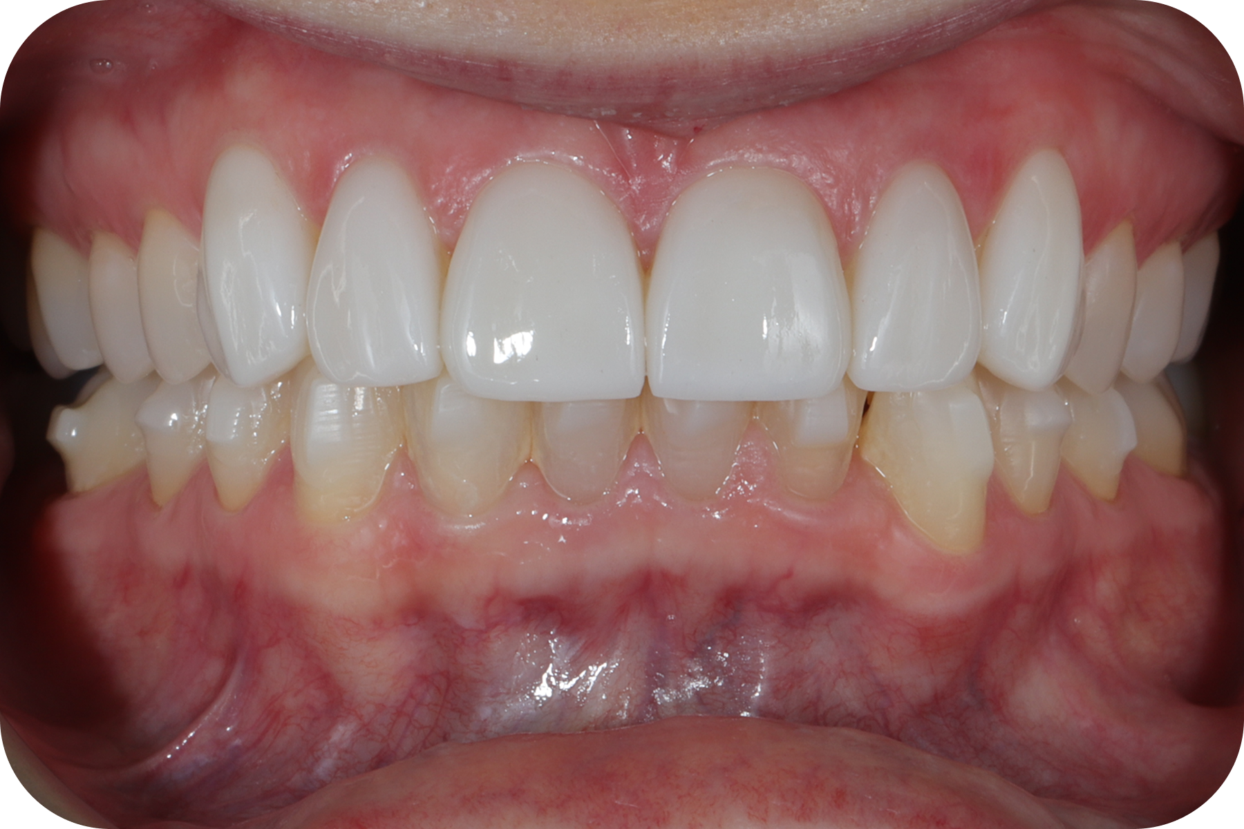
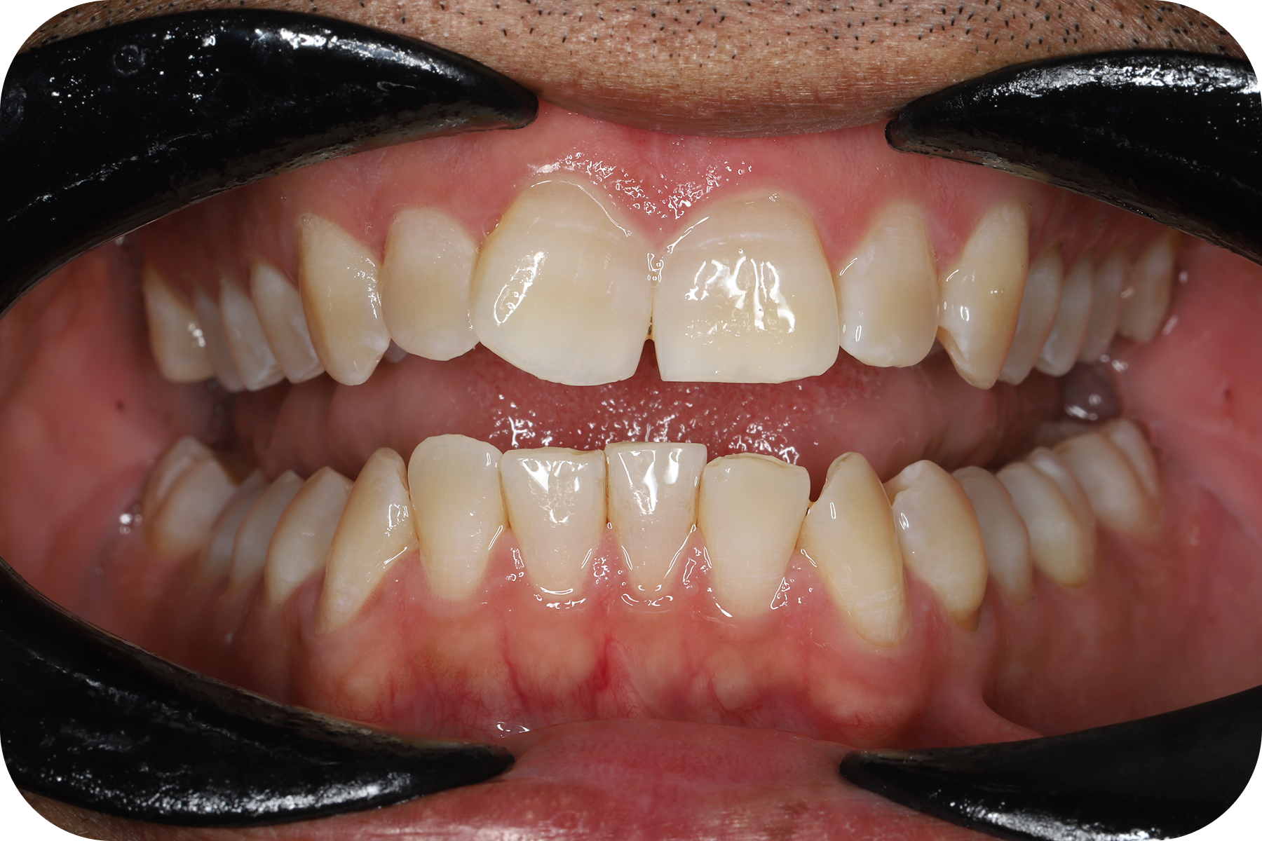
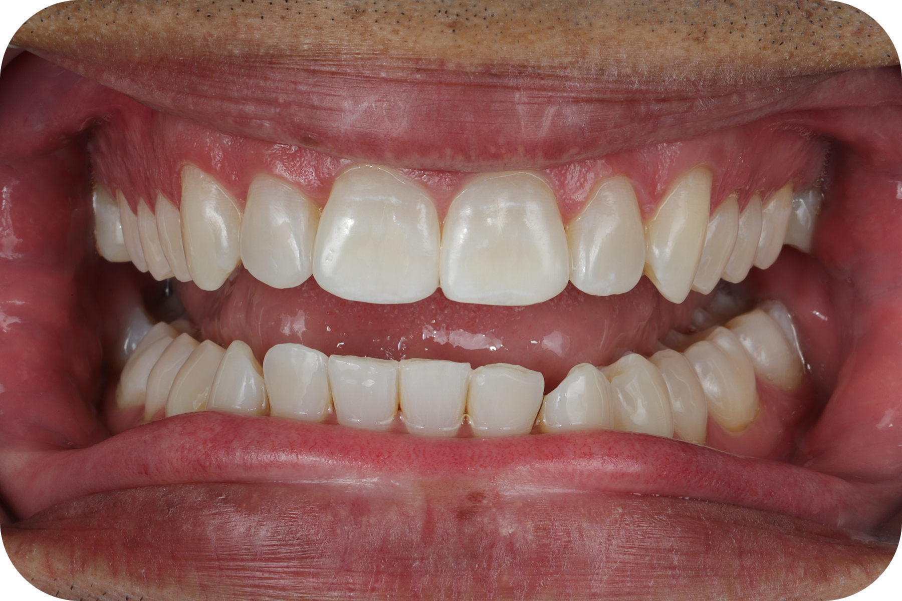
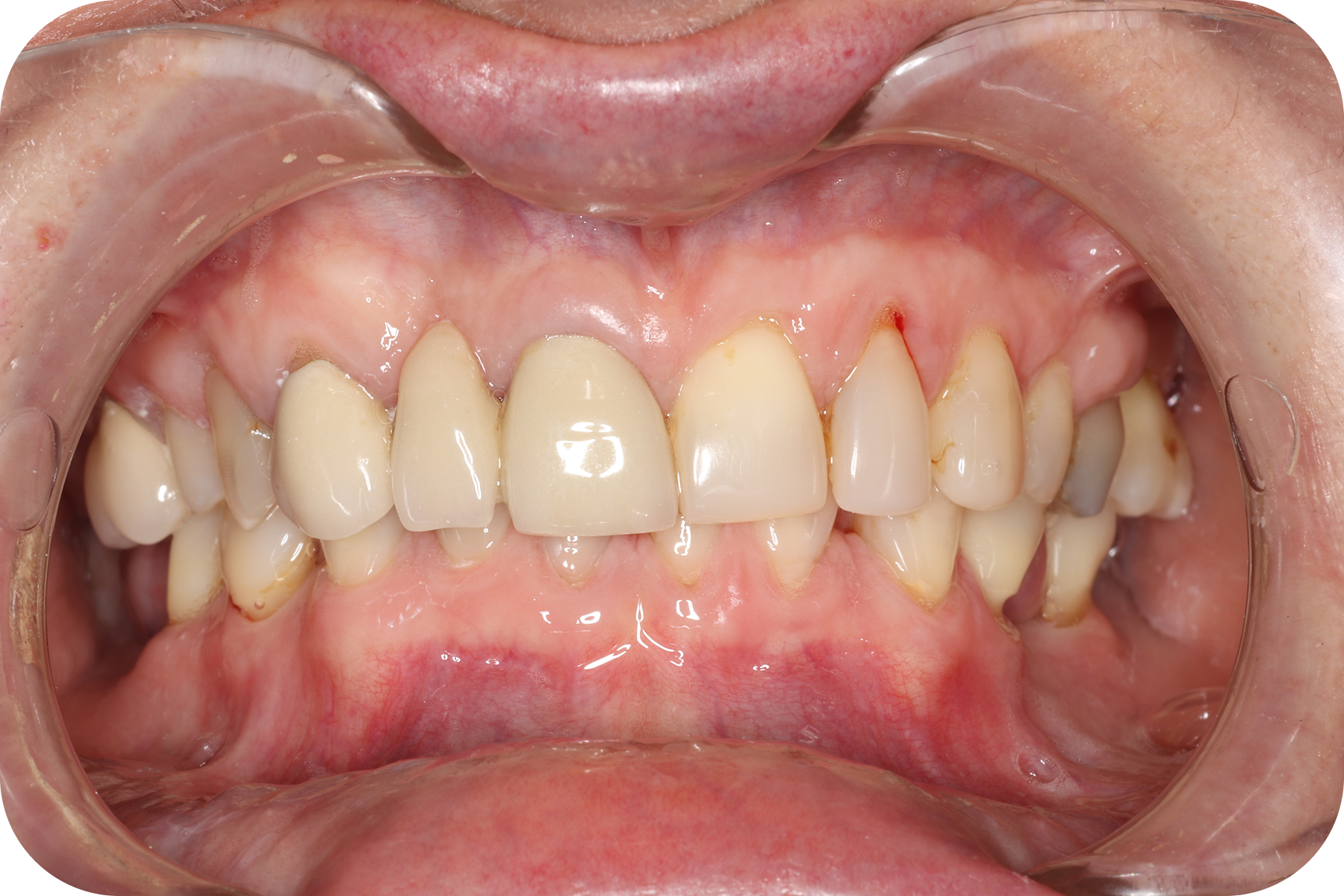
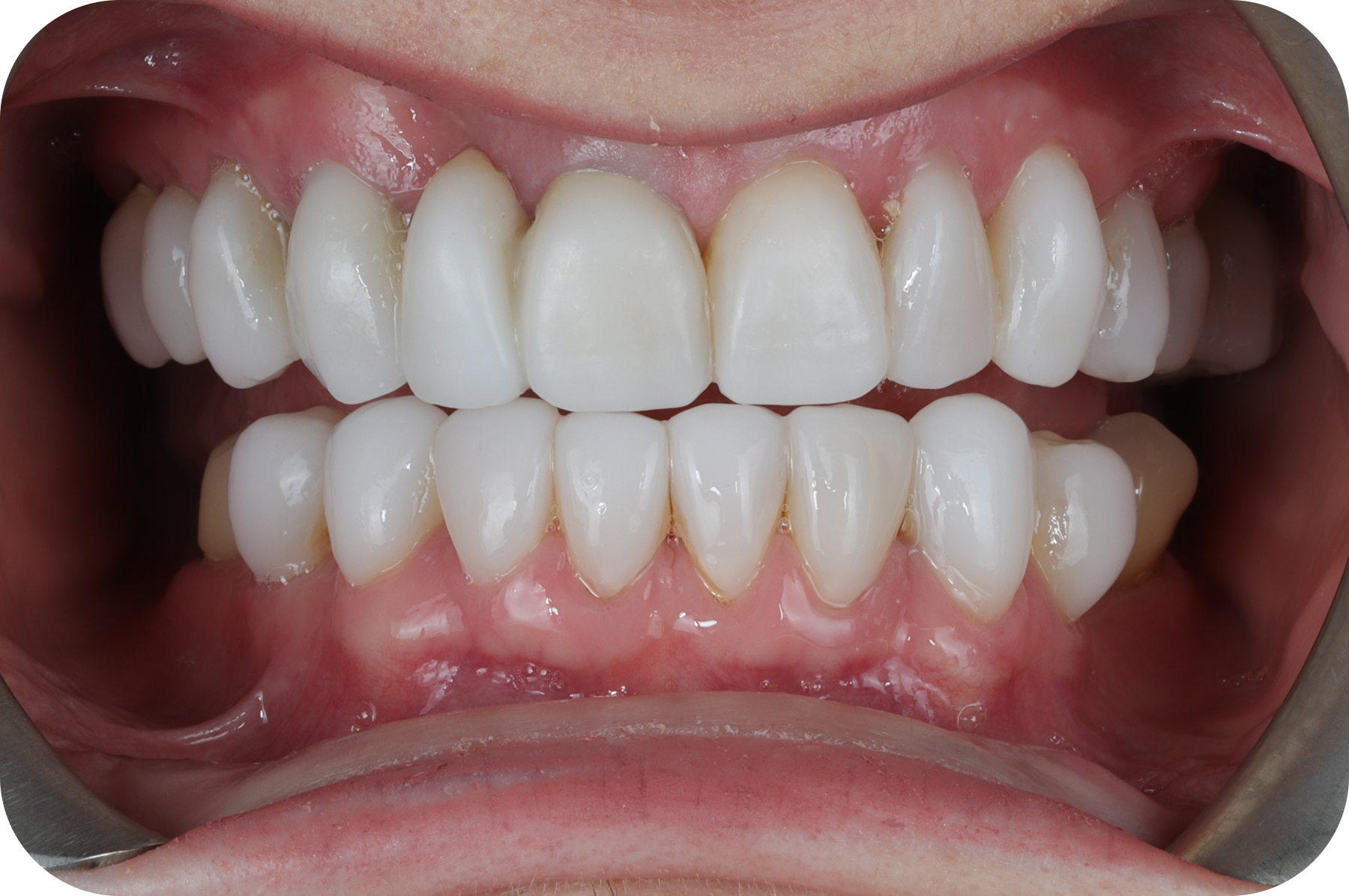
Witness the impressive outcomes of our dental treatments in our Smile Gallery. These before-and-after images celebrate the journey towards confident and radiant smiles. Each reflects the skill and attention we bring to each patient’s experience.






and Functional Rehabilitation


Porcelain Crown and Veneers














































































Dr Michael Shams
2474467Y
General Dentist

Get Ready for a Radiant Smile; Book Your Appointment Today!
Begin your journey to a healthier, stunning smile with Anchorage Dental Care Mindarie. Schedule your visit now with one of the trusted dentists in Mindarie and experience quality dentistry care.
Book An Appointment